Teeth Whitening – Get The Smile You’ve Always Wanted

Teeth Whitening By Dr. Aksana And Her Team At Chroma Dental, Toronto
- In-Office Whitening System or Take Home Whitening System
- Over 10 Shades Whiter In Under 60 Minutes!
- We use only high-quality dental-grade materials
- Safe for use on veneers, caps and crowns
- Won’t damage existing restoration work!
Call us: (416) 550-9000
Teeth Whitening Toronto Expert Dr. Aksana Tkachenko
Your smile is single-handedly the most recognizable feature on your face.
In other words, it’s also the thing that people notice about you the most!
Don’t be embarrassed by a yellow or stained smile. Come in to see Dr. Aksana and her team, and get your teeth 10 to 12 shades lighter in just one visit.
With that in mind, it’s important to understand that whitening procedures, other than those that use fluoride, are most often considered cosmetic procedures, which might not be covered by your insurance provider.
However, our teeth whitening system is a completely non-invasive procedure, which has been approved by the FDA and Health Canada.
In fact, our Teeth Whitening procedure is quick and painless, providing you with immediate results even before you walk out of the door after your appointment. For this, your dentist or hygienist will use an oral whitening gel, as well as a UV light tool to remove stains from the surface of your teeth.
Instantly remove stains that have built up for years in as little as 60 to 90 minutes!
Teeth whitening clinic in North York, Toronto
It’s also good to note that teeth whitening procedures have been proven to have zero negative effects on the enamel or other parts of your teeth.
Located in the heart of North York, Chroma Dental is proud to offer affordable teeth whitening, guaranteed to get you a brighter smile in no time!
Interested in learning more? Don’t hesitate to schedule a free consultation today!
Call us: (416) 550-9000

60 min Treatment
Get 10+ Shades Whiter
Take-Home Kit ($150)
Convenient service hours
We’re open early mornings
Although our teeth whitening system is perfectly safe, there are a few important things to remember.
- Sores/Cuts – Patients should never undergo a teeth whitening treatment if they have any cuts, scrapes, or sores in their mouth since this will lead to increased risk of irritation and discomfort.
- Piercings – Make sure to remove any tongue or lip piercings before undergoing teeth whitening treatment.
- Eating – Aside from drinking water, it’s best to avoid eating or drinking anything that may stain your teeth 1 hour before your whitening appointment.
- Dental Cleaning – For best results, we recommend having your teeth professionally cleaned within 6 months of your whitening treatment.
Aftercare Tips – now that your smile is brighter, let’s keep it that way!
- First Hour – Like before your initial treatment, it’s best to avoid eating or drinking anything for at least 1 hour after your whitening procedure has been completed.
- First 24 Hours – During this time, we recommend that you avoid eating or drinking anything that may cause staining. This includes red wine, coffee, tea, soda, beets, blueberries, etc. Alternatively, if you choose to purchase our post-whitening treatment, you’ll be able to resume your normal activities immediately.
- White Spots on Teeth – It’s not uncommon to notice white spots on your teeth after your treatment. These are either caused by porous teeth or existing calcium deposits in your teeth. White spots are totally normal and should disappear within a day.
- White Spots on Gums – If you had any cuts or sores on your gums, you may experience some mild irritation. You may notice white spots on your gums after treatment, no need to worry as this should also resolve itself within 24 hours.
- Sensitivity – Although it’s not very common, some patients may experience increased gum or tooth sensitivity after their treatment. This sensitivity should subside within 30 minutes to an hour after the treatment. If sensitivity persists, your dentist may recommend that you start using a sensitivity toothpaste.
- Touch-Up Treatments – For the best results possible, we recommend that you undergo a short 20 to 30 minutes “touch-up” session every 6 to 12 months after your initial whitening treatment. Touch-ups can either be done in our office or at home.
- At-Home Touch-Ups – Patients may also choose to purchase a Smile Prep touch-up kit, which can be used as part of your nightly oral care routine to whiten and prevent teeth from becoming stained.
Call us: (416) 550-9000
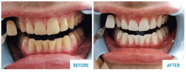
Before and after
Teeth Whitening FAQs – Frequently Asked Questions
Unfortunately, many of our favourite foods and drinks can stain our teeth over time.
That’s why a professional teeth-whitening is recommended every 6 to 12 months to help keep your smile looking as bright and white as can be.
Let’s take a look at some other questions that we often hear from our patients.
Is teeth whitening safe?
Yes, Dr. Aksana and her team are qualified and trained to perform completely safe, harmless teeth whitening treatments in Toronto. In fact, teeth whitening is considered one of the safest, least invasive cosmetic procedures currently available.
Our process uses a harmless specialty light that is safe and won’t burn your skin or gums. This light is used to activate the specialized whitening gel that your dentist or hygienist will apply to your teeth before your treatment.
The gel used in the process is primarily composed of hydrogen peroxide, which is highly effective at removing stains and whitening your teeth.

Frequently Asked Questions
Who should avoid teeth whitening procedures?
Those with poor enamel health or decalcified teeth should avoid this treatment, as well as women who are pregnant or lactating. Additionally, those who suffer from advanced forms of periodontal disease such as gingivitis should not undergo treatment.
You should also never undergo a whitening treatment while wearing braces or if you’ve had oral surgery within the last 6 months.
Before undergoing treatment, your dentist will first examine the state of your oral health to determine if you’re a good candidate for teeth whitening. However, more than 90% of patients are eligible for this procedure.
Will teeth whitening cause increased sensitivity?
While most patients don’t report any residual sensitivity, some 5% of patients may experience mild gum irritation and a bit of increased sensitivity, which usually resolves itself within 24 to 48 hours.
Those with thin or weak enamel are more likely to experience these issues.
You may experience a mild tingling sensation; however, you should not feel any major pain or discomfort.
If you have gum disease or any cuts or sores in your mouth, your dentist will likely recommend that you wait until the conditions have been addressed before undergoing a whitening treatment.
How does the whitening gel work?
When the whitening gel is applied to your teeth, it’s completely harmless and doesn’t do anything.
However, when activated by our specialized UV laser light, the gel works to gently whiten teeth by penetrating the dentin and enamel and removing any discoloration.
Will teeth whitening make a big difference?
Yes, in fact, this procedure has been proven to whiten teeth anywhere from 6 to 12 times shades in as little as one short 15-minute treatment.
How long does the treatment take?
While individual sessions are only between 15 to 20 minutes long, a series of 3 short sessions are considered a full treatment.
Contact us today to learn more about our teeth whitening procedure.
Are there any known side-effects?
In some cases, your gums may become mildly irritated and turn slightly pale before treatment. This usually doesn’t last more than a few hours and should resolve itself without treatment within a day or two.
White spots may also be noticeable where any demineralization has occurred but should also resolve themselves promptly.
Call us: (416) 550-9000





















